校园动态

当前位置: 首页 > 校园动态 > 正文

临床医学院/附属医院放射科在九江地区率先引进人工智能技术

作者:临床医学院/附属医院 发布时间:2018年09月15日 11:15浏览次数:

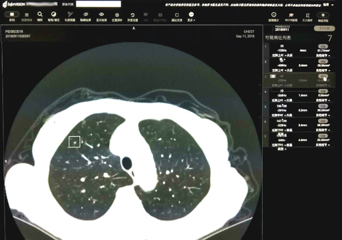
  近期,临床医学院/附属医院放射科引进了九江市首套人工智能“InferRead CT Lung”肺部影像诊断辅助软件。该系统融合了大数据与人工智能等最新科技,可以帮助医生大幅度提高肺部结节筛查的效率与准确性。

 

 

  这款由推想科技提供的软件结合临床医学院/附属医院最先进的 256排512层高端螺旋CT扫描的肺部图像,以其高性能的并行运算能力,通过测量CT值识别出实性、磨玻璃及钙化结节并同时显示所有结节的大小、体积。有了该软件的辅助,再小的结节也不易漏诊。影像科医生对检测的结节进行分析,反馈至软件中标记假阴性的结节和取消假阳性结节的标记。此外,它可通过对影像组学的自我深度学习,提高对图像全信息识别利用的诊断准确性;并且它的知识经验会随着病例增多不断自我优化,从而不断降低漏诊率、误诊率。

 

  科技不断发展,医疗AI已经站在门外,人工智能(Artificial Intelligence,AI)也将不断的融入到医学的各个层面。作为医务工作者,应该学会利用AI提高工作效能,更好地为病人服务,同时开展科学研究,不断提升医疗技术水平。临床医学院/附属医院放射科率先在本市引进该软件,有效助推了该院影像专业乃至全院在科技兴院方向的快速前进。

关闭窗口
联系我们

学校地址:江西省九江市前进东路551号   
Email:jjuxb@jju.edu.cn     邮政编码:332005   
招生电话:0792-8310030 8310031    

Copyright © 2020 九江学院版权所有  备案序号:赣ICP备10004574号  赣公网安备36040202000313

访问统计:您是第位访问者